
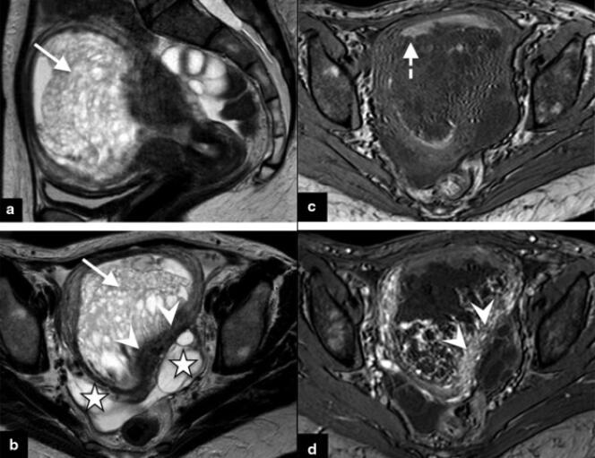
IRM pelvienne mettant en évidence une môle invasive chez une patiente de 40 ans présentant des hémorragies de l’utérus. PIERRE-ADRIEN BOLZE Ce sont des tumeurs féminines méconnues,d’autant plus cruelles qu’elles surviennent à l’occasion de l’attente d’un « heureux événement ». Chez près d’une femme enceinte sur mille en Occident (et près d’une sur cent en Asie),en effet,une masse tumorale se développe à partir du placenta,cet organe essentiel qui assure les échanges entre le sang de la mère et celui de l’embryon.
Lors de ces grossesses pathologiques,des lésions précancéreuses,nommées « môles hydatiformes »,se développent à partir d’une couche de cellules,le trophoblaste,qui,en temps normal,entoure l’embryon et forme de nombreuses villosités qui ancrent le placenta dans l’utérus.
Ces môles résultent d’une anomalie de la fécondation,toujours liée à un excès de matériel chromosomique d’origine paternelle,entraînant soit une absence d’embryon,soit un embryon non viable. Ainsi,lorsqu’un ou deux spermatozoïdes fécondent un ovule sans noyau,aucun embryon ne se forme mais une môle prolifère. Et lorsque deux spermatozoïdes (ou un spermatozoïde anormal) fécondent un ovule normal,un embryon commence à se développer,sans pouvoir survivre longtemps.
Fausse couche spontanée
Même en l’absence d’embryon,le test de grossesse est positif,car le placenta produit d’importantes quantités de l’« hormone de grossesse »,ou gonadotrophine chorionique humaine (hCG). Le plus souvent,ces môles sont détectées lors de l’échographie du premier ou du deuxième mois. « Il faut alors procéder à une évacuation utérine par aspiration [curetage] »,explique le professeur Pierre-Adrien Bolze,chirurgien gynécologue à l’hôpital Lyon-Sud (Hospices civils de Lyon),qui héberge le Centre national de référence des maladies trophoblastiques.Il arrive que ces môles provoquent une fausse couche spontanée, mais,souvent,sans expulser la totalité de la masse tumorale. La femme présente alors des saignements persistants qui l’incitent à consulter. Après échographie et aspiration,le diagnostic est confirmé par l’analyse histologique des tissus évacués.
Près de neuf fois sur dix,il n’y a pas de récidive. Il faut cependant s’en assurer en mesurant le taux de hCG durant six mois ; s’il ne remonte pas,c’est qu’aucune tumeur ne s’est redéveloppée. Dans 10 % à 15 % des cas,cependant,la môle se transforme en « tumeur trophoblastique gestationnelle »,à partir de cellules précancéreuses persistant dans l’utérus. Ce qui concerne environ 130 femmes par an en France,sur les 950 à 1 000 femmes qui développent une môle hydatiforme chaque année.
Il vous reste 57.55% de cet article à lire. La suite est réservée aux abonnés.